Published on Oral Health
September 12, 2022
by Gabriele Floria, DDS; Iris Floria
Introduction
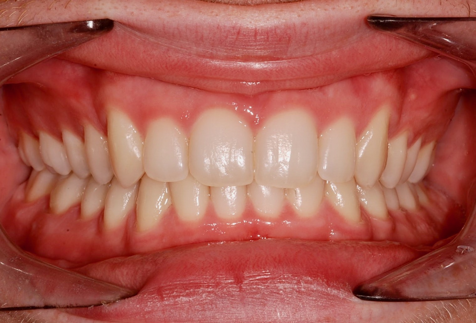
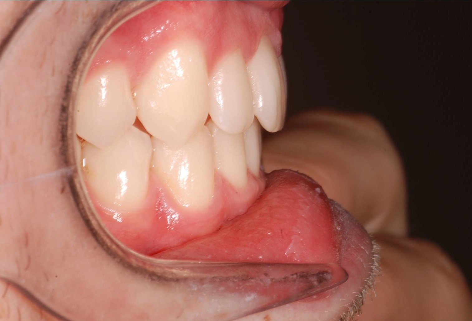
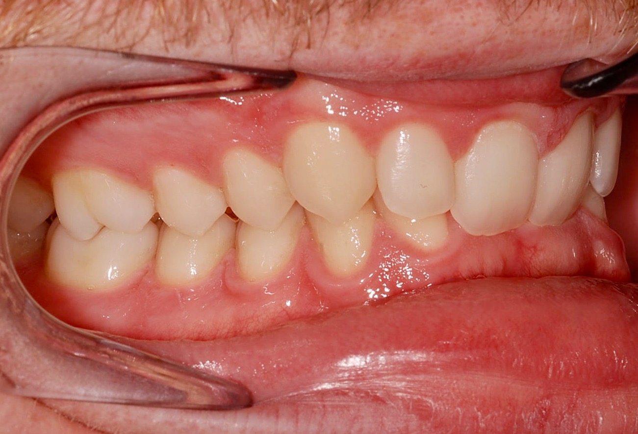
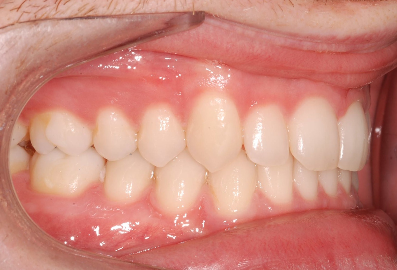
Class II subdivision malocclusions can be difficult to treat because of their asymmetric occlusal relationships. An accurate diagnosis, etiologically based when possible, is essential to perform a correct and efficient orthodontic treatment.
The aim of this article is to illustrate a case report treated with customized lingual brackets in association with a simple vestibular device.
Read the full article at this link














